30 Percent of Americans Are Suffering From Brain Parasites
Okay, this makes total sense.
Published 5 months ago in Funny

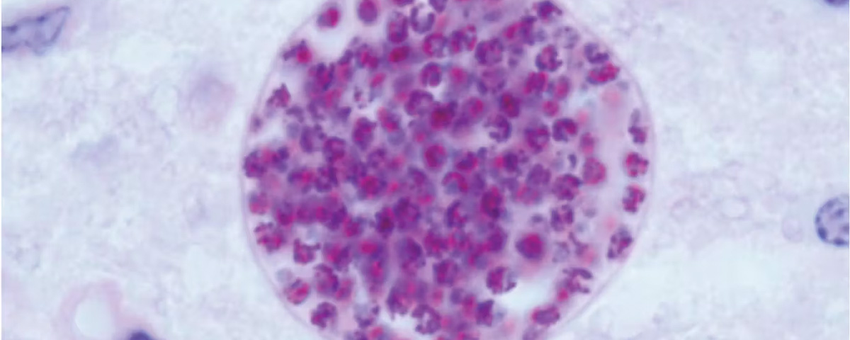
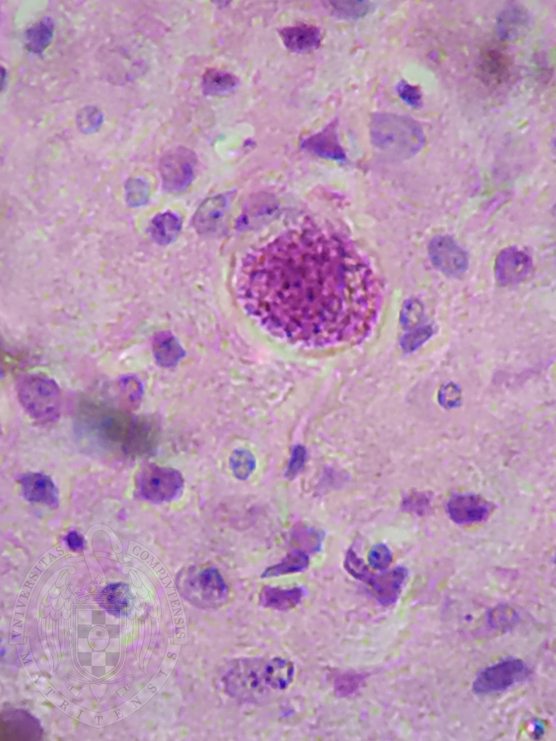
A team of researchers from the University of California recently published a paper that puts being alive in 2025 into crystal clarity. The team’s work focused on a microplastics parasite called Toxoplasma gondii, which affects anywhere from 10 to 30 percent of the population.
That can’t be good.

According to their research, Toxoplasma impacts include, “severe [sic] damage to the brain, eyes or other organs.” However, the majority of people infected with the parasite have no idea they have it. The good news is that many with Toxoplasma gondii will never experience any symptoms as the parasite can lie dormant for decades, though, those with weakened immune systems may experience a decay in brain function.
The two most common forms of contraction are through eating under-cooked meat and coming into contact with cat feces. So next time someone asks why the world is losing its marbles, you’ll be able to permanently freak them out.
Also, it kind of makes you feel bad for all the “crazy cat ladies” — it’s not their fault!